
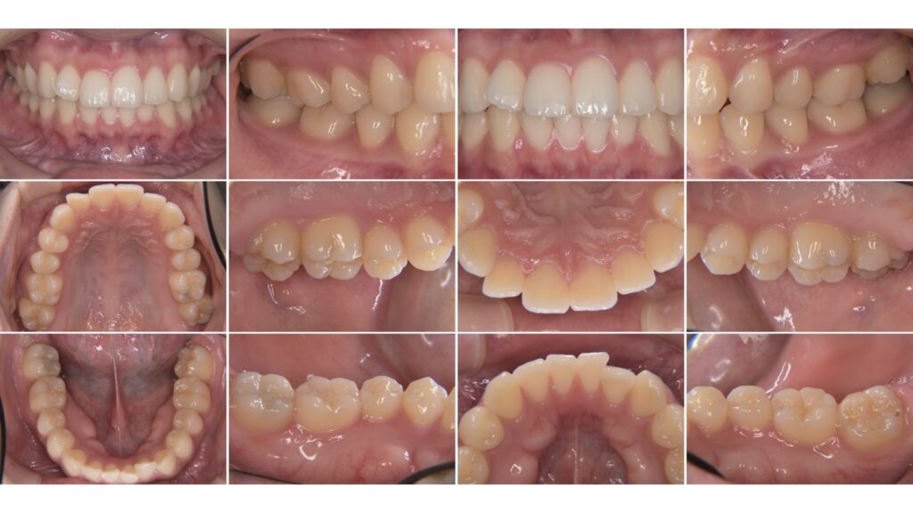
歯科治療は、どうしても何をされているのかわかりにくいものです。
そこで当院では、口腔内写真を撮影し、現状を“見える化”しています。
写真を撮ることで、患者さんにも、私たちにも、たくさんのメリットがあります。
口腔内写真を見ると、次のようなことがわかります。
• むし歯があるかどうか
• 以前治療した詰め物・被せ物の状態
• 歯ぐきが腫れていないか、下がっていないか
• 汚れがたまりやすい場所
• 磨き残しのクセ
• 歯の欠けやすり減り
• 噛み合わせによる歯への負担
• 奥歯や見えにくい部分の状態
• 今は症状がなくても、将来問題になりそうなところ
言葉だけの説明より、写真を見た方が一目で理解できます。

口腔内写真は、治療前・治療後の比較にも使います。
• どこがどう良くなったのか
• きちんと治っているか
• 術後の経過に問題がないか
を、患者さんと一緒に確認できます。
「ちゃんと良くなっている」ことを
目で見て確認できるのは、大きな安心につながります。
定期的に写真を撮っていくと、
• 前回とのわずかな違い
• 歯ぐきの微妙な変化
• 詰め物の劣化の兆し
など、小さな変化に早く気づけるようになります。
その結果、大きな治療になる前に対応でき、歯を長く守ることにつながります。
口腔内写真は、歯科医師・歯科衛生士にとっても大切な資料です。
• 治療結果を振り返る
• 経過を再評価する
• より良い治療につなげる
ために欠かせません。
患者さんのためでもあり、治療の質を高めるためでもあります。
口腔内写真は,、現状を正しく知り、納得して治療や予防を選んでいただくための大切なツールです。
初めての方も、「自分の口の中がどうなっているのか」一緒に確認していきましょう。


